Tai nạn do pháo nổ văng trúng mắt
Thông tin ngày 23/10, Bệnh viện Mắt Hoa Lư (Ninh Bình) cho biết: Bệnh viện tiếp nhận một trường hợp bệnh nhân nam 44 tuổi, bị pháo nổ văng trúng mắt từ Tết Nguyên Đán 2025 gây chấn thương, đặc biệt là tình trạng chói lóa nghiêm trọng do mống mắt mất khả năng điều tiết ánh sáng, ảnh hưởng thị lực.
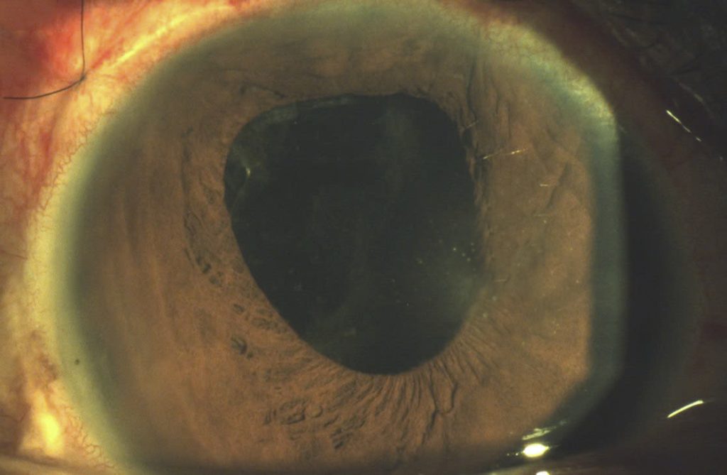
Bệnh nhân nam Nguyễn. Đ. T (1981, Phường Hoa Lư, tỉnh Ninh Bình), bị pháo nổ phụt thẳng vào mắt phải vào dịp Tết tháng 2/2025 khi đang di chuyển trên đường, gây chấn thương, đục thủy tinh thể, cảm giác chói lóa, ảnh hưởng thị lực. Bệnh nhân cũng từng đến một số đơn vị để thăm khám, nhưng chưa thực sự được điều trị triệt để.

Mắt bệnh nhân ngay trước phẫu thuật (ảnh trái) và mắt bệnh nhân ngay sau phẫu thuật (phẫu thuật tạo hình mống mắt kết hợp phẫu thuật phaco).
Gần đây, khi thị lực suy giảm nhanh và ảnh hưởng nhiều đến sinh hoạt, người nhà đã đưa bệnh nhân T đến Bệnh viện Mắt Hoa Lư để thăm khám. Tại đây, bệnh nhân T được Bác sĩ nội trú Nguyễn Thị Thùy Tiên – Trưởng khoa Mắt Tổng hợp bệnh viện Mắt Hoa Lư tiếp nhận và trực tiếp thăm khám.
Qua thăm khám cùng các trang thiết bị chuyên khoa hiện đại, bác sĩ Thùy Tiên chẩn đoán bệnh nhân bị đục thể thủy tinh do chấn thương, kèm đứt chân mống mắt. Đây là ca điều trị phức tạp, do tổn thương kéo dài khiến cấu trúc giải phẫu mắt bị biến dạng, đồng thời gây rối loạn thị giác chức năng – đặc biệt là tình trạng chói lóa nghiêm trọng do mống mắt mất khả năng điều tiết ánh sáng.
Lấy lại thị lực sau phẫu thuật
Trước diễn biến phức tạp của ca bệnh, bác sĩ Thùy Tiên đã hội chẩn cùng BSCKII Trần Bá Kiền (hủ tịch hội đồng chuyên môn cấp cao – Tập đoàn Y khoa VISI) để có phát đồ điều trị tối ưu cho bệnh nhân. Bệnh nhân được chỉ định phẫu thuật tạo hình mống mắt kết hợp thay thể thủy tinh nhân tạo bằng phương pháp Phaco. Ca phẫu thuật đã diễn ra rất thuận lợi sau 25 phút. Sau phẫu thuật, tình trạng bệnh nhân ổn định, thị lực có cải thiện.

Tái khám sau hai ngày phẫu thuật, thị lực mắt phải của anh T đã tăng từ 2/10 lên 8/10, đồng thời giảm đáng kể cảm giác chói khi tiếp xúc ánh sáng mạnh – một trong những triệu chứng lâm sàng quan trọng để đánh giá khả năng phục hồi chức năng thị giác sau chấn thương đứt chân mống mắt.

Bác sĩ Nội Trú Nguyễn Thị Thùy Tiên khám lại cho bệnh nhân sau phẫu thuật hai ngày. Thị lực mắt phải tăng từ 2/10 lên 8/10.
Bác sĩ Thùy Tiên khuyến cáo: “Những chấn thương mắt do pháo nổ, vật sắc nhọn hoặc tai nạn lao động có thể gây tổn thương nghiêm trọng đến giác mạc, mống mắt hoặc thể thủy tinh. Người bệnh tuyệt đối không nên tự ý điều trị hoặc trì hoãn việc thăm khám. Việc đến các cơ sở chuyên khoa mắt sớm để bác sĩ đánh giá đúng mức độ tổn thương và can thiệp kịp thời, tránh nguy cơ mất thị lực vĩnh viễn là vô cùng quan trọng“.
